Bělení zubů: Cesta k zářivému úsměvu
Toužíte po krásně bílém úsměvu? Bělení zubů je jedním z nejžádanějších estetických zákroků v oblasti dentální péče – ať už zvolíte domácí bělení nebo bělení přímo v ordinaci, výsledek vás může mile překvapit.
V Esthesion nabízíme obě varianty bělení, přičemž každá má své výhody. Rádi vám pomůžeme vybrat tu nejvhodnější právě pro vás.
Proč zuby tmavnou?
Zbarvení zubů může být způsobeno celou řadou faktorů – od konzumace kávy, čaje, červeného vína nebo kouření až po stárnutí, genetiku či užívání některých léků. Bělení zubů pomáhá odstranit pigmentaci a navrací zubům jejich přirozeně svěží vzhled.
Jak funguje bělení?
Aktivní bělicí složkou procesu je peroxid vodíku, karbamidperoxid nebo perboritan sodný . U každého pacienta existuje individuální mez, za níž dochází působením těchto látek k poškození zubů.
V případě, že lékař k této mezi dospěje, okamžitě zastavuje bělicí proces, a to i tehdy, nedošlo-li ještě ke kýženému výsledku. Bělicí proces je rovněž zastaven v případě alergické reakce, bolestivosti zubů nebo při erozi zubní skloviny.
Při bělení neživých zubů se bělicí materiál nenanáší na sklovinu, nýbrž se aplikuje zevnitř zubu, může tedy dojít k poškození kořenového systému zubu, ke zlomení či k prasknutí zubní korunky.Při aplikaci gelu na zub, dochází k rozpadu Karbamidu peroxidu, kdy se z látky uvolňuje kyslík, který vstupuje do dentinu a skloviny a vyběluje usazeniny pigmentu. Struktura zubu zůstává nezměněna.
Klinickými testy bylo prokázáno, že bělící systém je naprosto bezpečný.
Ordinační bělení zubů
Jak probíhá?
Ordinační bělení provádíme přímo v naší klinice pod dohledem zkušeného zubního lékaře nebo dentální hygienistky. Nejprve zuby důkladně vyčistíme a zkontrolujeme jejich stav. Dásně chráníme speciálním gelem nebo gumovou blánou. Následně naneseme bělicí gel (většinou na bázi peroxidu vodíku) a aktivujeme jej pomocí speciální LED nebo UV lampy. Proces bělení probíhá ve 2–3 cyklech po cca 15–20 minutách tedy celý zákrok trvá přibližně 60–90 minut.
Používané technologie
V Esthesion pracujeme s moderními a šetrnými bělicími systémy Opalescence, které kombinují vysokou účinnost s maximální bezpečností.
Výsledky
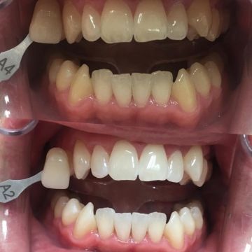
Výsledek je viditelný ihned po zákroku – zuby mohou být o 4-5 odstínů světlejší. Účinek přetrvává 1–3 roky v závislosti na životním stylu.
Domácí bělení zubů
Jak to funguje?
Domácí bělení probíhá pomocí individuálně zhotovených nosičů (dlah), které naplníte speciálním bělicím gelem a nosíte podle doporučení lékaře, obvykle 1–2 týdny, cca 1–2 hodiny denně nebo přes noc.
Výhody a použití
Tato metoda je šetrnější a umožňuje pozvolné zesvětlení zubů v pohodlí domova. Ideální je i jako udržovací metoda po ordinačním bělení.
Je šetrné a postupné
Máte bělení plně pod kontrolou
Ideální i jako udržovací metoda po ordinačním bělení
Používané produkty
Nejčastěji používáme profesionální bělicí gely s karbamid peroxidem od ověřených značek jako Opalescence.
Cena
Cena domácího bělení a ordinačního bělení je dle aktuálního ceníku.
Ano – pokud je provedeno odborně. V Esthesion vše probíhá pod dohledem zkušeného personálu. Krátkodobá citlivost zubů je běžná, ale rychle odezní. Bělení nepoškozuje zubní sklovinu a neovlivňuje výplně ani korunky.
Bělení samotné není bolestivé, ale může způsobit dočasnou citlivost zubů nebo dásní – ta většinou odezní během několika hodin až dnů. Doporučíme vám gely nebo pasty na snížení citlivosti.
Výsledek ordinačního bělení obvykle vydrží 1–3 roky, podle toho, jak se o zuby staráte a jaký je váš životní styl (káva, čaj, kouření apod.). U domácího bělení záleží na délce kúry a pravidelnosti.
Bělení účinkuje pouze na přirozené zuby – výplně, korunky ani fazety svůj odstín nezmění. Pokud jsou ve viditelné části úsměvu, může být nutná jejich výměna po bělení.
Ordinační bělení doporučujeme maximálně 1× ročně. Domácí bělení (např. jako udržovací kúra) lze provádět častěji podle doporučení lékaře.
Po bělení doporučujeme 24–48 hodin vyhnout se potravinám a nápojům s výraznou barvou (káva, červené víno, borůvky, kari atd.) a také kouření. Zkrátka: dodržujte tzv. bílou dietu.
Bělení není doporučeno dětem, těhotným, kojícím ženám a lidem s neléčenými zubními problémy. Také je dobré vědět, že korunky, fazety a výplně svůj odstín nezmění.


