OUR SERVICES

Comprehensive Care for the Health and Beauty of Your Smile

We provide a wide range of dental services – from preventive check-ups and dental hygiene to modern implantology, prosthetics, and surgical procedures.

Book an Appointment
4,8 (370+ reviews)

Overview of Dental Services at Esthesion Clinic

Our clinic offers a wide range of modern dental services including implantology, oral surgery, prosthetics, and aesthetic dentistry. Each treatment is individually designed with an emphasis on health, functionality, and long-term results.

Dental Implants Prague

Implantology

Implantology deals with replacing missing teeth using modern dental implants. An implant replaces the tooth root and provides a fixed, natural solution that restores both function and aesthetics of your smile.

Oral Surgery Prague

Oral Surgery

Oral surgery includes surgical procedures in the oral cavity, jaws and teeth. This includes tooth extractions, including wisdom teeth, and other procedures necessary for the health and proper function of the dentition.

Dentistry Prague

General Dentistry

Our goal is healthy, functional teeth without pain. We take care of aesthetic fillings for cavity treatment and precise root canal cleaning that can save even severely damaged teeth. All procedures are performed as gently as possible.

Periimplantitis Treatment Prague

Periimplantitis Treatment

Periimplantitis is an inflammation of the tissues around a dental implant. Early diagnosis and professional treatment help stop the inflammation, protect the implant and restore the health of surrounding tissues.

Dental Prosthetics Prague

Prosthetics & Dental Replacements

Prosthetics focuses on replacing missing or damaged teeth. Using modern crowns, bridges and other solutions, we restore the function of the dentition and the natural appearance of your smile.

Aesthetic Dentistry Prague

Aesthetics

Aesthetic dentistry focuses on improving the appearance of teeth and smile. The most common procedures include veneers, teeth whitening or reshaping teeth for a harmonious and natural look.

ABOUT THE CLINIC

Esthesion is a modern clinic providing top-quality dental care in a pleasant and friendly environment

Video about Esthesion Clinic

Esthesion is a modern dental clinic focused on implantology and comprehensive oral health care. Our goal is to provide top-quality treatment in a pleasant environment with emphasis on an individual approach to each patient.

We use modern technologies and the experience of our team to help you regain a healthy and confident smile.

Book an Appointment
4,8
(370+ reviews)
Transparent pricing always
Modern technology and a gentle approach
Individual treatment plan for everyone
Experienced team and long-term results
TREATMENT PROCESS

How Treatment at Our Clinic Works Step by Step

Consultation

The doctor will evaluate the condition of your teeth and recommend the next course of treatment.

Diagnostics

Using modern methods, we will precisely determine the condition of your teeth.

Treatment Plan

We will design an individual treatment plan according to your needs.

Treatment

Treatment is performed gently using modern technologies.

Result

You are satisfied and can enjoy a healthy and beautiful smile.

RESULTS

Smile Transformations of Our Patients

See the real results of our patients. Every smile is unique and deserves individual care.

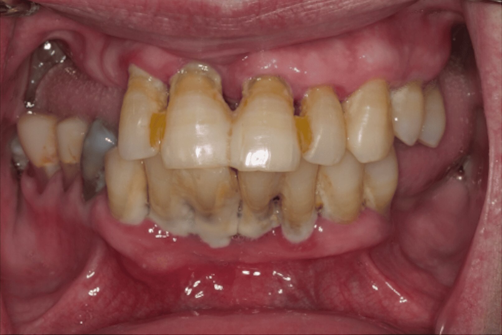
Before treatment
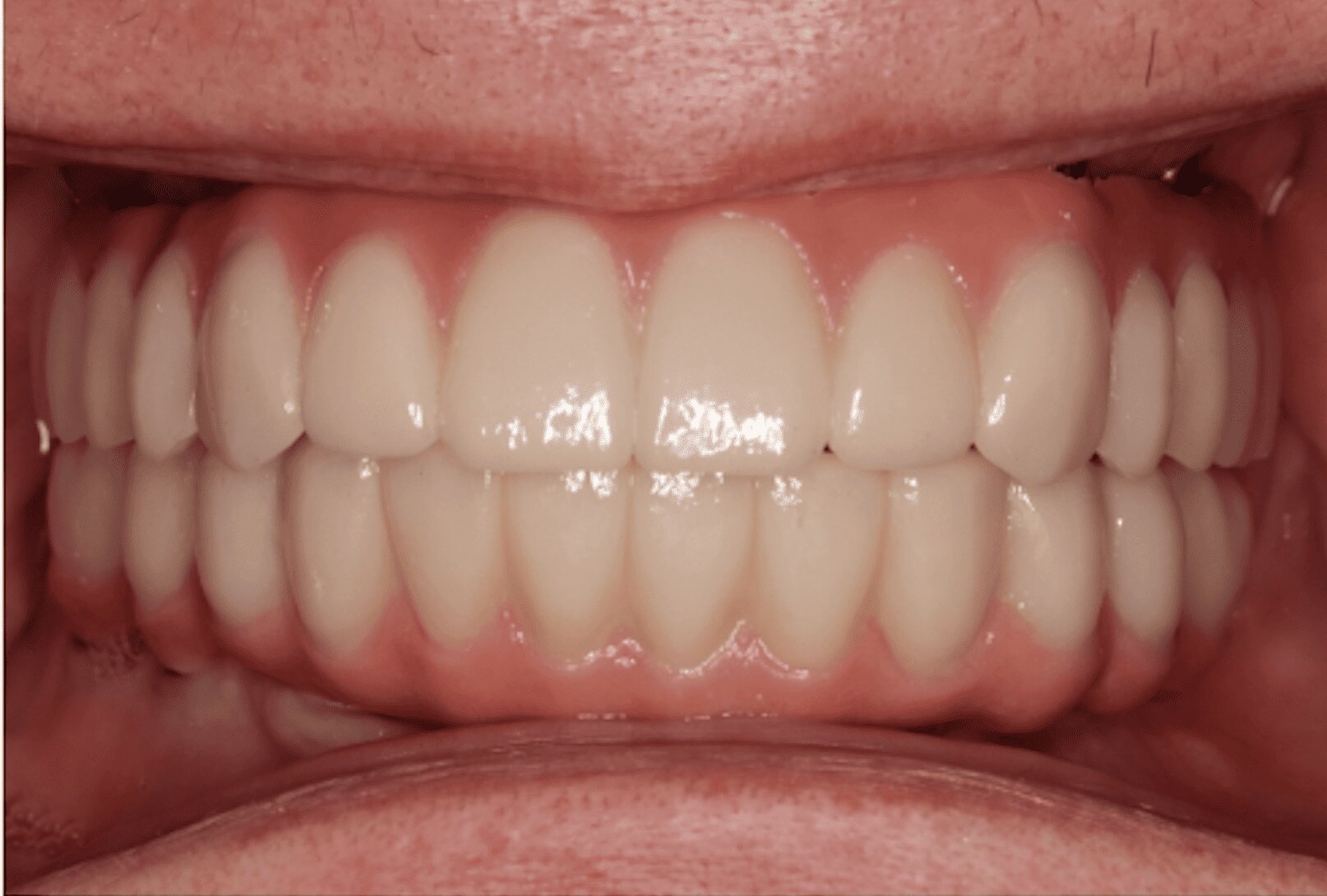
After treatment
Before After
April 2025 Treatment in 4 visits

All-on-4, digital planning, full-mouth rehabilitation

Book an Appointment
Before treatment
After treatment
Before After
April 2025 Treatment in 4 visits

All-on-4, digital planning, full-mouth rehabilitation

Book an Appointment
Before treatment
After treatment
Before After
January 2024 Treatment in 3 visits

All-on-4, digital planning, full-mouth rehabilitation

Book an Appointment
REVIEWS

Read About Our Patients' Experiences with Care at Our Clinic

4,8 (370+ reviews)

“Very positive experience with the dental clinic. The doctor was kind, professional, and everything went without complications. I appreciate his approach and thoroughness during the procedure. My daughter is healing well after the procedure and the whole process was without problems. I can definitely recommend the clinic.”

Tereza Maroulová

“All good – quality and atmosphere.”

Alena Klímková

“The kindest and most skilled Dr. Gajdošová! I always love coming back.”

Tereza Solčanská

“Very good in every respect. A well-functioning reception and a team of dentists and nurses at a high level.”

Jan Šír

“Everyone here is very kind... They explain everything in detail and are patient... They effectively reduce the stress that we all carry from offices with unprofessional attitudes. Thank you once again.”

Vlasta Kubincová

“Very pleasant environment. Dr. Landová is kind, sensitive, and thorough – 100% quality. I can only recommend the clinic.”

Lucie Richterová

“The dentist is very kind to my son, she doesn't rush and explains everything to him. The reception staff are also kind and helpful. There is always some waiting, but I think that is unfortunately the case everywhere.”

Petra Vlková

“Helpfulness, professionalism.”

Vlastislav Hryzbyl

“Professional approach, thank you very much.”

Šárka Stibůrková

“Great care, great teeth... I recommend. They really handle complicated cases.”

Ivana Divišová

“We found the best of the best for us – professionalism, pleasant environment, and most importantly, empathy. Thank you, we are glad to have you. The Kurz family”

Květa K.

“Excellent care from Dr. Divecký J., nurse Jana, pleasant ladies at reception, and a very cozy environment. I can only recommend. Kateřina”

Kateřina Šmídová

“Truly professional approach.”

Miroslava Uhlířová

“Meticulous doctor!”

Lenka Marasek

“Professional and kind approach from both the doctor and the nurse.”

Irena Polakova

“The doctor and the nurse were very pleasant, they explained everything.”

Jana Maresova

“Absolutely amazing approach!”

Petra Vackova

“Everything perfect as always!”

Kateřina Kořínková

“It is a great place, helpful staff and above-standard approach. Prices are high, but what isn't these days.”

Milan Gabzdyl

“Perfect, nothing to complain about.”

Akiva Šichman

“Thank you.”

Jana Dudova

“Excellent services, just a bit pricier.”

Libor Růžek

“Appointment on time, no waiting. Professional approach.”

Katerina Vydrova

“Highly professional and at the same time empathetic approach.”

Petr Zaba

“Excellent clinic, professional approach.”

Elishka Travel-hungry girl

“I am very satisfied. The nurses are kind and helpful, the doctor gave me detailed information, and dealing with him was pleasant. The overall environment is top-notch.”

Miluše Kovaříková

“Thank you for the sensitive and empathetic treatment. Dr. Divecký treated our entire family for years, and when he changed locations, I took my son across the city to see him. And I did well, because in addition to an excellent doctor, you also have incredibly kind nurses and ladies at reception. Thank you.”

Kateřina Svobodová

“Excellent, friendly and professional approach. Modern equipment and nice environment.”

Marcela Hladíková

“Everything in order, pleasant staff, easy scheduling, fair treatment. Compared to other dental offices, the equipment and range of care provided are above standard. We travel over 100 km to get here and it has always been worth it.”

Martin Kulle

“Thank you for the consultation before implant placement. It is amazing what equipment you have. And how far technology has advanced in the last few years. Plus, the whole process has been sped up, so I will enjoy my new teeth in just a few months.”

Barbora Doubková

“Thank you for the professional approach.”

Michal Brož

“Perfect approach, very professional dental treatment!”

Jan Kovanda

“Everything was fine, but the prices are really astronomical!!!”

Kateřina Houšková

“The treatment was excellent in every way. Dr. N. Mahdian is a great professional and the nurse was kind and skilled. The only thing I miss is an email address where I could write to him if I needed to consult something. Thank you.”

Ilijana Nikolova

“I switched to Esthesion after bad experiences in the past. The friendly and professional approach combined with reasonable prices restored my trust. I recommend this clinic to everyone!”

Marek Skala

“Quick, "pleasant" (if you can say that about a tooth extraction), professional procedure, without any complications. Thank you.”

Miroslav Hlaučo

“I can only recommend Esthesion. Having my wisdom teeth removed by Dr. Mahdian was a walk in the park. Professional approach from all the doctors, nurses, and reception staff. Thank you.”

I D
BOOK AN APPOINTMENT

Come visit us and experience care with a human touch

Whether it is your first visit or you are returning to us, our team is ready to provide you with individual care in a pleasant and friendly environment.

MDDr. Nima Mahdian, Ph.D.
Looking forward to meeting you MDDr. Nima Mahdian, Ph.D.
Book Online

Online booking is available for initial examinations and consultations.

Fill out the form below and we will get back to you as soon as possible

Contact form

Contact Us

MDDr. Nima Mahdian, PhD
Looking forward to meeting you MDDr. Nima Mahdian, Ph.D.
Book an Appointment
Office Hours:
Mon: 7:30 - 16:00 Thu: 7:30 - 20:00 Tue: 7:30 - 14:00 Fri: 7:30 - 14:00 Wed: 7:30 - 15:00 Sat-Sun: closed
4,8
(370+ reviews)
Jugoslávských partyzánů 15, Prague 6