Vítejte v úsměvu budoucnosti!
Osvěžte svůj úsměv s námi!
Vaše zdravé a krásné zuby jsou naší vášní! V naší zubní klinice spojujeme moderní technologie, profesionální přístup a bezbolestnou péči, abychom vám zajistili ten nejlepší zážitek. Ať už potřebujete preventivní prohlídku, estetické vylepšení nebo špičkovou odbornou péči, jste na správném místě.
Aktuálně
Vážení pacienti,
děkujeme, že využíváte našich služeb. Níže najdete přehled nejnovějších aktualit a důležitých informací z naší kliniky:
-Informace o provozu kliniky-
Milí klienti,
dne 11. 2. (středa) bude naše zubní klinika uzavřena z technických důvodů.
Děkujeme za pochopení a těšíme se na vaši návštěvu v následujících dnech.
-Dárkové poukazy-
Stále máte možnost zakoupit dárkový poukaz na libovolné ošetření u nás na klinice. Poukaz lze vystavit buď na konkrétní zákrok, nebo na libovolnou hodnotu dle vašeho přání.
Dárkový poukaz je možné využít například na:
dentální hygienu
profesionální bělení zubů
konzultaci na implantáty
keramické fazety
a další stomatologická ošetření
Dárkový poukaz je možné vyzvednout osobně na recepci, nebo jej zaslat e-mailem po uhrazení.

-Příjem nových pacientů-
Přijímáme nové pacienty na implantologii a estetické fazety.
Objednejte se na konzultaci pro vyhotovení léčebného a cenového plánu.
-Léčba periimplantitidy-
Nově nabízime léčbu periimplantitídy -profesionální čištění implantátu a okolních tkání bez nutnosti chirurgického otevření místa kolem implantátu
-Přijímáme nové pacienty na dentální hygienu-
Profesionální a šetrná péče o váš úsměv. Objednejte se na dentální hygienu a udělejte důležitý krok pro zdraví svých zubů i dásní.
Termíny k dispozici – objednání je snadné a rychlé.
-Zrušení termínů ošetření-
Prosíme o včasné rušení termínů – nejpozději 24 hodin předem. V opačném případě účtujeme provozní poplatek 1200 Kč.
Služby, které poskytujeme
Naše ordinace nabízí komplexní služby pro vás i vaše děti. Kompletní seznam služeb naleznete zde.
Přijde vám, že Praha už nemá ani jednoho volného zubaře? Máme dobrou zprávu, máme volné kapacity i v rámci protetiky a implantologie.
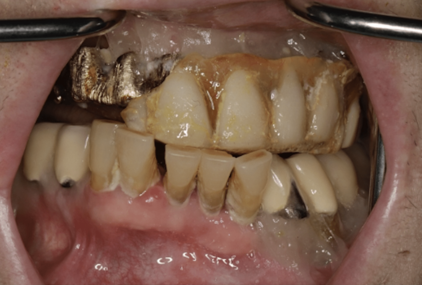
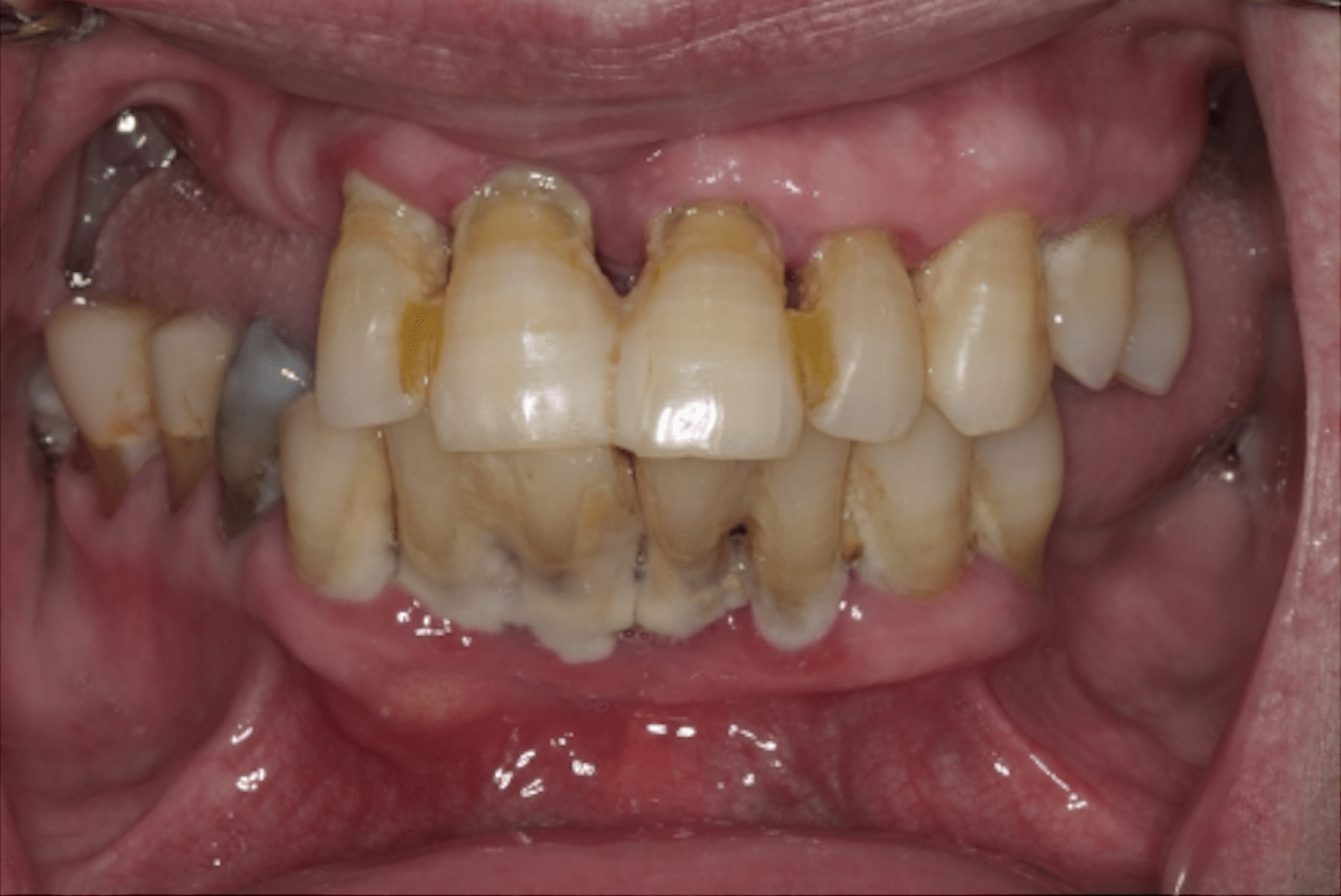
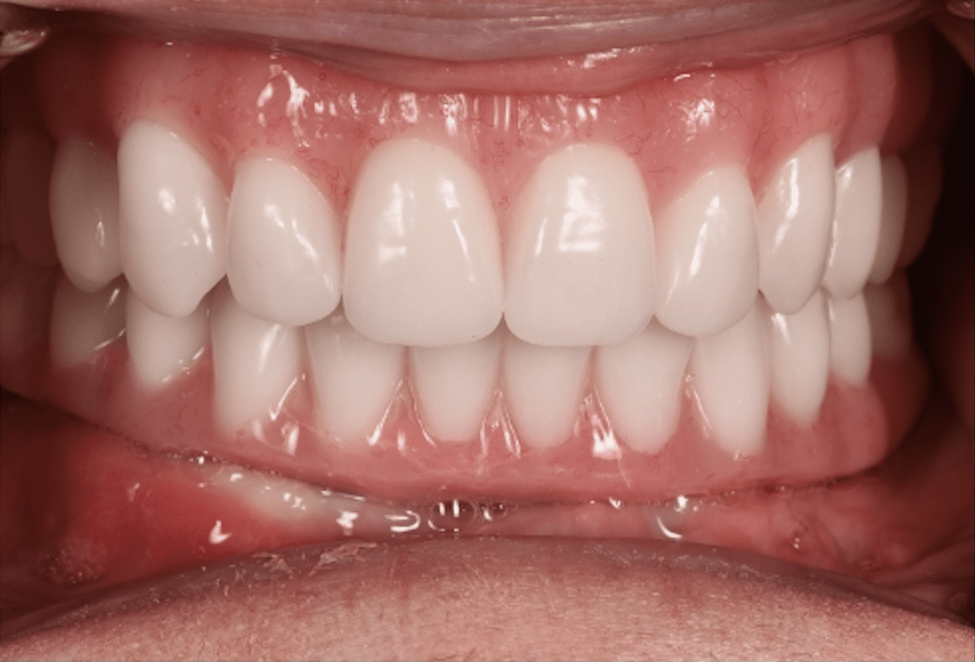
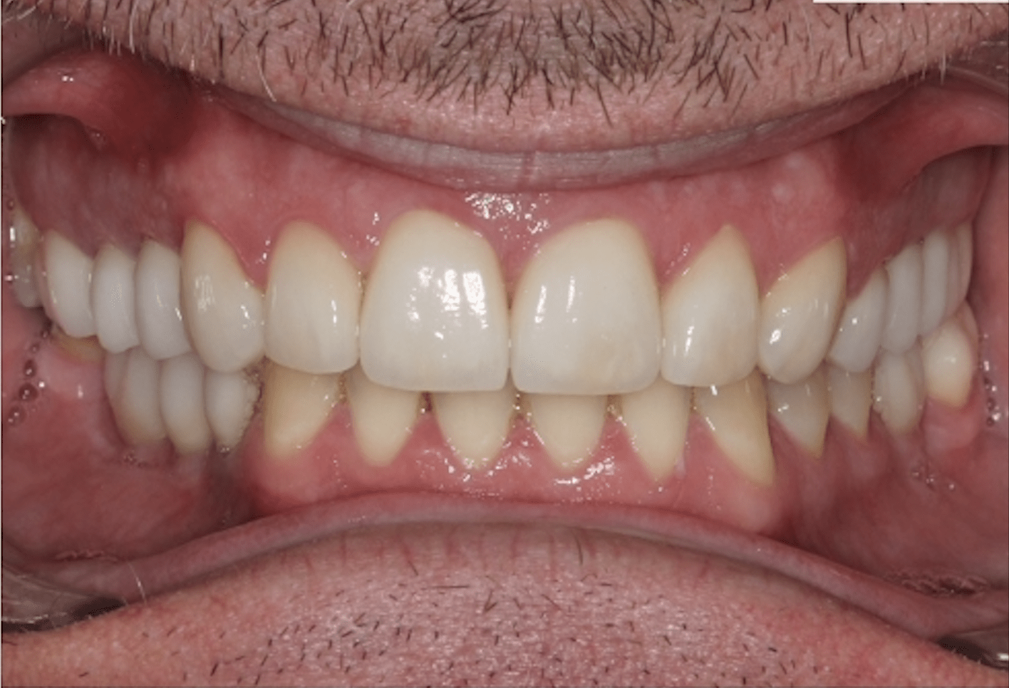
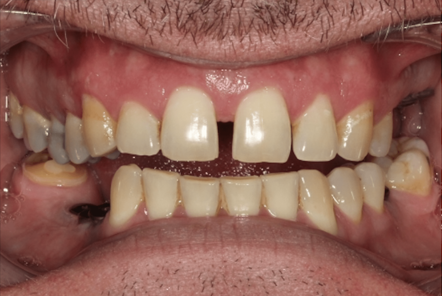
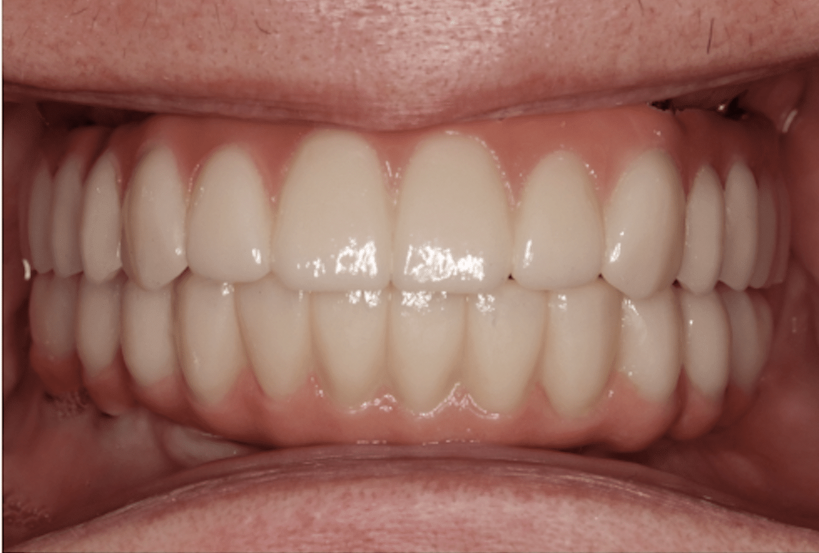
Estetické fazety mohou být řešení křivých předních zubů. Pokud vás zajímá cena estetických fazet na zuby, objednejte se na konzultaci.
Pravidelná prevence je jedinou cestou, jak se do ordinace zubního lékaře dostat co možná nejméně.

1
Komplexní péče na jedním místě
10+
Více než 10let zkušenosti
100%
individuálni přístup
1000+
Mnoho spokojených pacientů
Chcete nás kontaktovat?
Jsme připraveni poskytnout vám veškeré potřebné informace a odpovědět na vaše otázky.
Kontaktujte nás telefonicky, e-mailem nebo si domluvte osobní schůzku – rádi vám budeme k dispozici.
Kontakt
+420 770 134 567
info@esthesion.cz
Ordinační doba
PO: 7:30 - 16:00
UT: 7:30 - 14:00
ST: 7:30 - 15:30
ČT: 7:30 - 20:00
PÁ: 8:00 - 14:00
Adresa
Jugoslávských partyzánů 15
Praha 6, Dejvice

